Meet Resilient Raven: A Story of Survival and Second Chances

Meet Raven, a resilient survivor with a super spirit! 

Raven is a super-sweet, one-year-old domestic shorthair cat who came to HART as a stray in need of medical attention on her journey to her forever home. From the moment she arrived, it was clear she needed immediate medical attention. Raven was breathing heavily, and in cats, open-mouth breathing is often a sign of a serious, life-threatening condition.

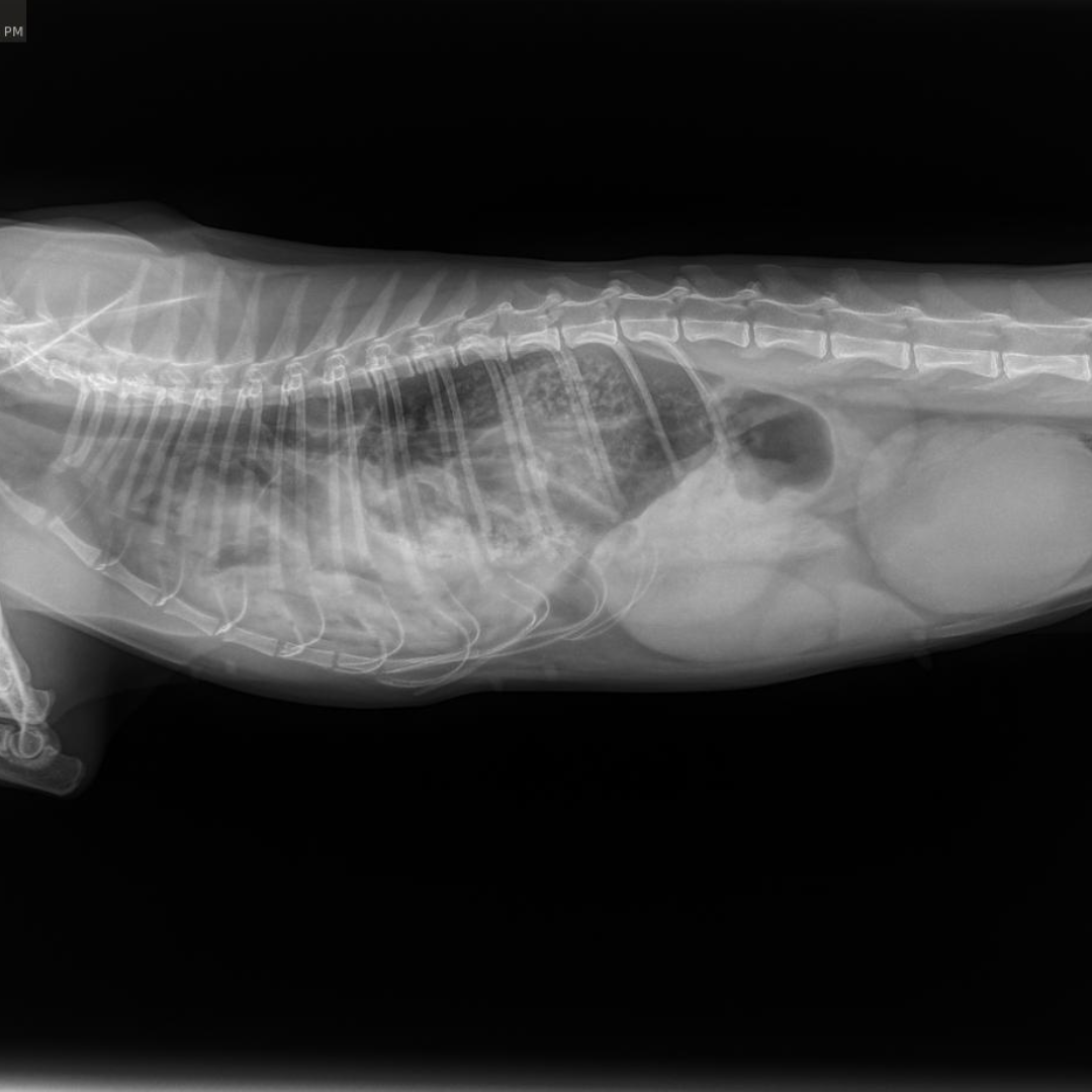
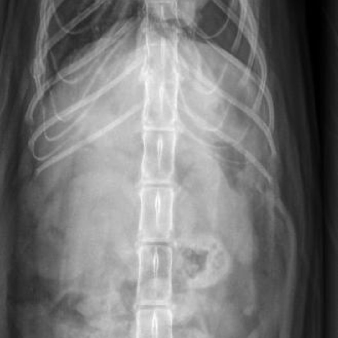
Our veterinary team at the Bredel Clinic acted quickly. Diagnostic X-rays revealed a diaphragmatic hernia, along with concern for a possible internal tumor or an enlarged kidney. A diaphragmatic hernia, as seen in the X-rays below, occurs when a rupture in the diaphragm allows abdominal organs, such as the liver, stomach, or intestines, to move into the chest cavity. This condition is most often caused by severe trauma, like being hit by a car or suffering a major fall, and it can lead to significant respiratory distress, rapid or shallow breathing, muffled heart and lung sounds, and chronic weight loss if left untreated.

Despite her condition, Raven remained incredibly affectionate throughout her initial exam, purring, leaning in for pets, and sharing her love with our clinic team even while struggling to breathe. Her gentle nature and fighting spirit made it clear that she deserved every chance we could give her! Although the surgery was high-risk, our team made the decision to move forward and repair the hernia.

During surgery, our veterinarians discovered that Raven’s kidney was severely enlarged, nearly double its normal size, and ultimately had to be removed. Additional scarring was found on her spleen, further confirming that she had likely suffered a significant traumatic injury in her past.

Raven came through surgery beautifully and amazed everyone with her recovery. Despite the invasive procedure, she remained the same loving and affectionate girl, full of purrs and gratitude. She is now recovering comfortably in our Adoption Wing, soaking up attention and love from staff as she continues to heal.

As Raven prepares for her forever home, she will need a dedicated adopter who understands her medical history and can help monitor her health as she ages, since she is now living with one kidney. With the right home and continued care, Raven has a bright future ahead!

Raven’s life-saving surgery was only possible because of our Mocha’s Fund. Many of the animals who arrive at HART for Animals come to us with serious or life-threatening medical conditions like Raven’s. Healing these pets takes time, expertise, compassion, and funding.

Mocha’s Fund is supported by grants and individual donations and is used to cover major veterinary expenses for animals rescued by HART. These funds are used for critical surgeries and treatments such as amputations, eye removals, and more. When an animal requires specialized medical care, our Adoption Manager refers them to our Bredel Clinic for evaluation and treatment.

A surgery like Raven’s typically costs over $1,000, and that’s just for the procedure alone. Donations to HART and to Mocha’s Fund make lifesaving stories like Raven’s possible! 

Please consider donating to Mocha’s Fund today to help us continue saving lives and giving pets like Raven the second chances they deserve. 

Previous
Previous

Meet Mopsie: A Sweet Senior Survivor Ready for Her Second Chance!

Next
Next

More Walks, More Wags: January is Walk Your Dog Month!